Dental Implants
Nearly 30 million people, in the UK alone, are missing at least one tooth. With these figures in mind, it's no wonder dental implants have become such a popular procedure. Dental implants are one of the most modern procedures in dentistry today; enabling you to replace almost any tooth in your mouth. Long gone are the days of bridges and dentures, as more and more people opt for implants that can last a lifetime.
What are dental implants?
A dental implant is a small, metal post that can hold a replacement tooth using an internal screw or clip; effectively becoming a substitute for the tooth's natural root. Nearly all modern implants are made using titanium or titanium alloy, which are materials most accepted by the bone. Previous forms of tooth replacement, including dentures and bridges, are now being swapped for the more modern alternative. There are a whole host of benefits to having dental implants, some of which are listed below:
Implants are the closest alternative to natural teeth due to their strength and stability
When cared for properly, a dental implant can last a lifetime
You can speak and eat in comfort , unlike with other teeth replacement options
Your healthy bone and other teeth are protected, compared to procedures which may grind away healthy teeth or leave the bone exposed to damage.
These are just some of the benefits, although the list is endless. If you would like to find out more simply contact our dental team. This modern procedure has become popular with people who have used dentures or bridges in the past, due to these key advantages.
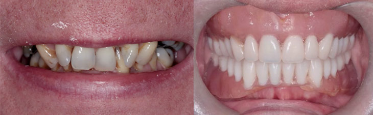
Some Of Our Work
Below is a before and after shot of one of our happy patients. This could be you, call today for an appointment to discuss your teeth.

The dental implant treatment
Treatment times for dental implants can vary greatly, depending on the expert you are seeing and the condition of the bone in your jaw. It can take between 6 weeks and 6 months to have your implants inserted and the new teeth placed. Your dentist should talk you through what happens before, during and after the surgery which can help anxious patients feel more at ease. It is important to have a good relationship with your dentist and to feel confident that he or she can perform this cosmetic dentistry procedure.
Dental implants are the modern solution for those who want strong, stable and natural looking replacement teeth.

